
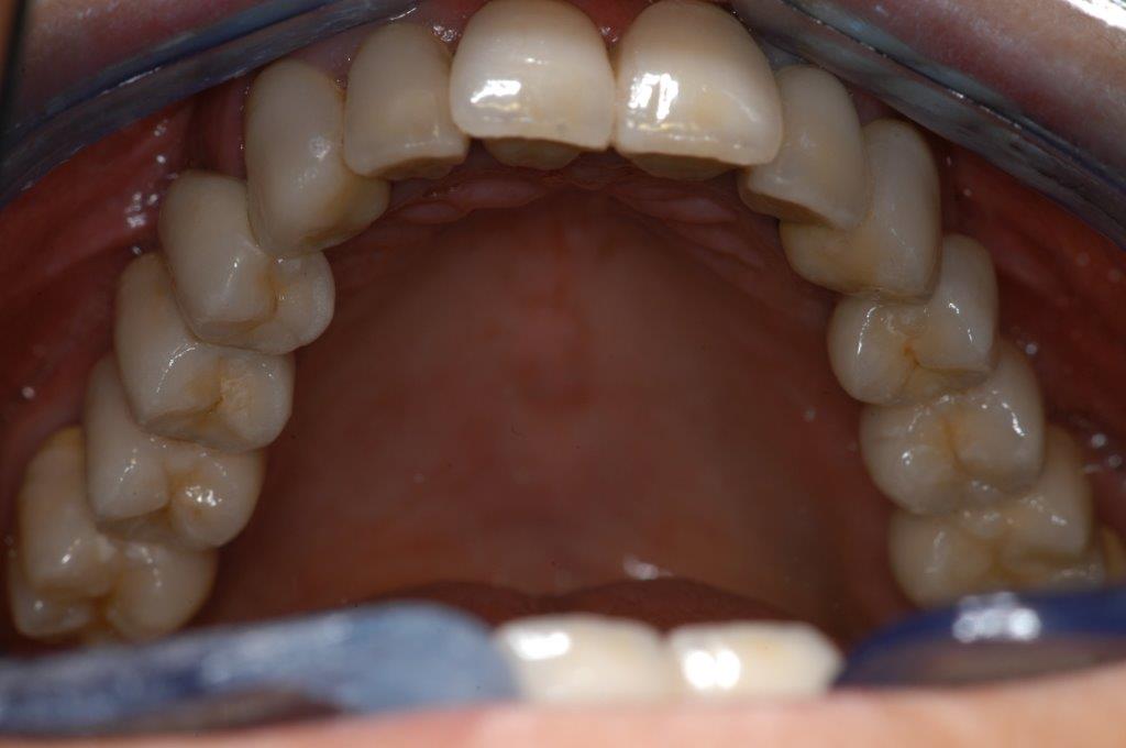
KLAUS MÜTERTHIES - Il principio del cambiamento
E poi, da Klaus Müterthies, di colpo ti arrivano due foto così... Da più di sei anni ho la fortuna di lavorare a fianco di Klaus e di avere un filo diretto con lui quando voglio. Non essendo io odontotecnico, ho imparato a conoscerlo e ad apprezzarlo non solo per...






















































